Esperienza e professionalità nella cura di denti e bocca
Centro specializzato in odontoiatria conservativa a Grosseto
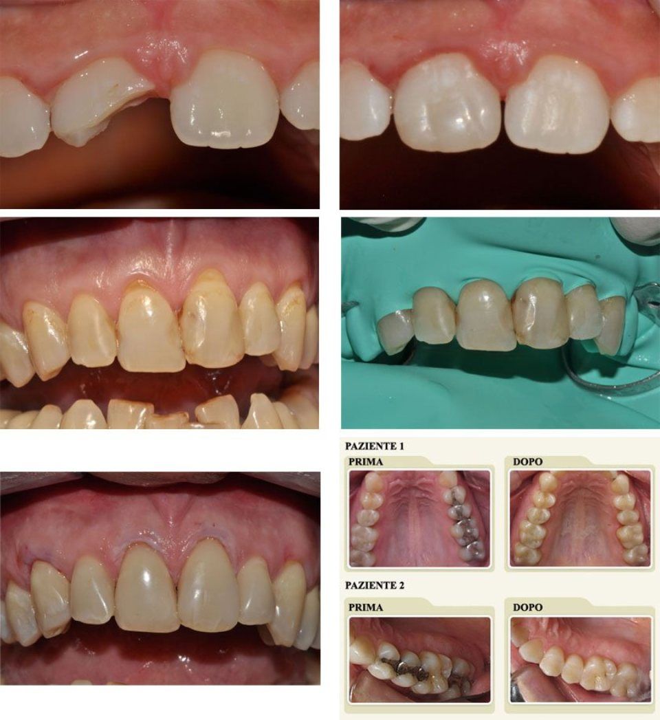
ContattiL'odontoiatria conservativa è una delle materie in cui è specializzato Dott. Giulio Tambelli Medico Dentista di Grosseto. Questa disciplina ha lo scopo di ricostruire le parti del dente danneggiate dalla carie o da una frattura, mediante l’utilizzo di materiali biocompatibili, i cosiddetti materiali da otturazione. Tali materiali possono essere:
resine composite: si possono usare su tutti i denti perché riproducono perfettamente il colore e la trasparenza dei denti naturali;
proprio grazie alle elevate qualità estetiche i compositi hanno quasi del tutto soppiantato l’amalgama ormai in disuso.
resine naturali: aumentano la durezza e la resistenza. Dal punto di vista estetico risultano molto meno invasive.



